小田歯科医院

0463-92-4618ご予約・お問い合わせ

0463-92-4618

休診日/

祝日のある週の木曜日は診療いたします

伊勢原駅よりお車で

審美歯科

esthetics

審美歯科

女性の口元・白い歯の画像

歯並びや歯の色にコンプレックスのある方、美しくバランスのとれた口元にしてみませんか?
金属の詰め物や被せ物の代わりに、セラミック等の素材を用いて白い歯に保ちます。
また白い被せ物により、歯並びの調整をすることもできます。美しい口元で、自信のある生活をおくりましょう。

自然な色の詰め物

歯のカラー診断風景画像

笑ったときに見える銀歯が気になる、という方には自然な色の詰め物がお勧めです。
様々な色の詰め物がありますので、それぞれの患者様に合わせた色をご用意することができます。
保険適用外となります。

詰め物・被せ物の特徴

貴金属(金合金・白金加金)インレー

身体への害がない、長く使える安全な金属です。

治療前

治療後

メリット

  • 腐食や変色が起こらない
  • 二次的な虫歯(境目からの虫歯)にもっともなりにくい
  • 金属アレルギーが極めて起こりにくい
  • 銀合金のように歯肉への着色がない
  • 噛む力の強い奥歯に向いている

デメリット

  • 金属色がどうしても目立つ
  • 多くの場合目立たない奥歯で適用することが多い

ハイブリッドセラミックインレー

優れた耐久性と素晴らしいナチュラル感ハイブリッドセラミックが美しい白い歯を実現!

治療前

治療後

メリット

  • 腐食や変色が起こらない
  • 二次的な虫歯(境目からの虫歯)にもっともなりにくい
  • 金属アレルギーが極めて起こりにくい
  • 銀合金のように歯肉への着色がない
  • 噛む力の強い奥歯に向いている

デメリット

  • 金属色がどうしても目立つ
  • 多くの場合目立たない奥歯で適用することが多い

セラミックインレー

セラミックインレーは、色調や透明感を天然歯と調和させることができます。
そのナチュラル感にきっとご満足いただけます。

治療前

治療後

メリット

  • 色調や透明感に優れ、天然歯のように仕上げることができる
  • 歯科の材質中で断トツの美しさ
  • 歯の美しさが長期間持続する
  • 二次的な虫歯(境目からの虫歯)になりにくい
  • 金属アレルギーの心配がない
  • 摩耗に強く、変色や変質がない

デメリット

  • 歯を削る量が若干多い
  • 強い咬み合わせにより割れてしまうことがある(割れることで歯根や周囲の組織を保護)
  • 歯ぎしりや咬み合わせが強い場合、奥歯には適用しない

貴金属(金合金・白金加金)クラウン

同じ身体への害がない、長く使える安全な金属です。

治療前

治療後

メリット

  • 腐食や変色が起こらない
  • 二次的な虫歯(境目からのむし歯)になりにくい
  • 金属アレルギーが極めて起こりにくい
  • 銀合金のように歯肉への着色がない
  • 噛む力の強い奥歯に向いている

デメリット

  • 金属色がどうしても目立つ
  • 多くの場合目立たない奥歯で適用することが多い

ハイブリッドセラミッククラウン

優れた耐久性と天然歯に近い硬度・色調が可能な素材です。

治療前

治療後

メリット

  • 周囲の歯に調和した色調で美しい仕上がりが得られる
  • 数年は美しさが持続する
  • 天然歯とほとんど変わらない硬さで、歯根に無理な力をかけず噛み合う歯も傷つけない

デメリット

  • 長期的な使用による変色がある
  • 材料の性質上擦り減りやすい
  • 強い咬み合わせにより割れてしまうことがある(割れることで歯根や周囲の組織を保護)
  • 長期間の使用により表面にザラつきが出るため、歯垢がつきやすくなる
  • 歯ぎしりや咬み合わせが強い場合、奥歯には適用しない

メタルボンドクラウン

見た目が自然で美しく、口元に自信が持てます。

治療前

治療後

メリット

  • 見た目がとても自然
  • 歯の美しさが長期間持続する
  • 二次的な虫歯(境目からの虫歯)になりにくい
  • 表面がツルツルしているので、歯垢がつきにくい
  • 摩耗に強く、変色や変質がない

デメリット

  • 歯肉が下がる可能性がある
  • 金属イオンが溶け出して歯肉を変色させることがある
  • 金属アレルギーの心配がある(貴金属の使用により回避可能)

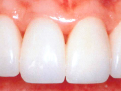
オールセラミッククラウン

自信のある笑顔は、あなたの印象を良くし、コミュニケーションを円滑にするきっかけを与えてくれます。

治療前

治療後

メリット

  • 色調や透明感、明るさや彩りなど、全ていおいて天然歯のように仕上げることができる
  • 歯の美しさが長期間持続する
  • 二次的な虫歯(境目からの虫歯)になりにくい
  • 表面がツルツルしているので、歯垢がつきにくい
  • 摩耗に強く、変色や変質がない

デメリット

  • 土台が金属の場合、透明感が出にくい
  • 歯を削る量が若干多い
  • 強い咬み合わせにより割れてしまうことがある(割れることで歯根や周囲の組織を保護)
  • 歯ぎしりや咬み合わせが強い場合、奥歯には適用しない

ポーセレンラミネートべニア

気になる前歯の悩みを解消して、さわやかに変身!

治療前

治療後

メリット

  • 透明感に優れ、美しさが持続する
  • 歯の美しさが長期間持続する
  • 歯へのダメージが最小限で済む
  • ホワイトニングで白くならない歯を白くするのに最適

デメリット

  • 厚みがないので、希望の色を表現しにくい
  • 健康な歯を薄く削る必要がある
  • 稀に剥がれてしまうことがある
  • ホワイトニングと比べて高額